Core ConservationProduction of SubstitutesSubstitution is undertaken only if the item is at serious risk of deterioration past the point at which the informational content is accessible and/or the material nature of the item poses risk to health and safety or the long-term preservation of other collection items. All other options are explored first and the decision to substitute carefully taken with a full understanding of the implications. LHSA demands the highest quality of production of the substitute to recognised standards, and acknowledges that the format chosen for the substitute may have an impact on its longevity.
Extensive documentation is undertaken to record the substitution and, wherever possible, an example of the item in its original format is stored safely to act as a reference sample to accompany the substitute.
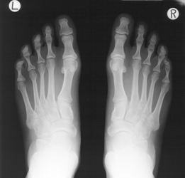
LHSA has used substitution to address the risks associated with cellulose nitrate and poor condition cellulose acetate x-radiographs in the collections.
Case study: background LHSA collections include c.20,000 x-rays originally on cellulose acetate, cellulose nitrate and polyester film base. They relate to hospitals in the Lothian region and to series of patient case notes held. Serious concerns regarding the x-rays in their original format were identified including low potential usage due to limited available cataloguing, the inappropriate and inefficient current storage system, and the degraded – and, in the case of nitrate film, flammable – nature. The condition of the film-based x-rays also posed health and safety risk to the staff and the potential to accelerate deterioration of paper-based collections held in the same storage area.
Cold storage for the whole x-ray collection was not a realistic and sustainable long-term solution for the volume and condition of the x-rays held and the decision to digitise and dispose as appropriate was carefully taken. A small collection of x-rays (relating to the Dott case notes) to serve as a reference sample and any x-rays too fragile to undergo the digitisation process have been preserved in cold storage.
Case study: treatment Liaison with Transmedia Technology Limited, who had previously digitised LHSA’s historic microfilm, determined the scanning parameters. Professor Jonathan Best, Radiologist, acted as a consultant to ensure that no medical information was lost in the digital version. The x-rays have been scanned at 300dpi, 16 bit and saved as TIFs on master and copy DVDs. Work to accompany digitisation included assigning a unique ‘X’ number to the x-rays for a given patient, packaging and labelling the x-rays for transit and scanning, compiling an Excel spreadsheet to enable future access to the collection, and a comprehensive quality control check of the substitutes produced.
Case study: conclusion The work to digitise the x-ray collection was an ambitious project, which, through successful execution, has met the preservation needs of both the x-rays and the paper-based collection items in the Archive. Investigation into means to promote use and the need for any future migration of data to ensure long-term accessibility to LHSA’s digital assets is ongoing and led by the Assistant Archivist.
|
||||
|
University Library Online |
Copyright |
Disclaimer |
Credits |
Privacy Policy | Accessibility Designed by the Learning Technology Section, © The University of Edinburgh |
||||